美しくキレイな歯ぐきに
17
歯ぐきの色や形や長さを
あなたの笑顔に合わせて

当院では、歯だけではなく歯ぐきの審美性も追求しております。歯ぐきの黒ずみをピンク色にするガムピーリング・ガムブリーチング、歯肉の退縮を改善する結合組織移植術(CTG)、歯が短く歯ぐきが長いガミースマイル、歯ぐきの高さを揃える歯肉形成など歯肉を美しくキレイにする美容歯ぐき治療を行っております。
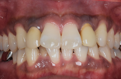
結合組織移植術(CTG)
結合組織移植術(Connective Tissue Graft)とは、歯肉の厚みとボリュームを増加させるために、主に口蓋から歯肉を採取し結合組織のみ移植する術式です。
「歯ぐきが退縮して見た目が気になる」「歯根が露出して歯がしみる」などのお悩みがありましたら、当院までご相談ください。
-
- 主訴
- 歯ぐきが退縮してきたことと歯列不正の見た目が気になる
-
- 部位
- 下顎前歯
-
- 治療内容
- 歯肉移植
+セラミック治療
-
- 治療費用
- 総額89.1万円(税込)
歯肉移植:3.3万円
セラミック:16.5万円×5本
仮歯:0.55万円×6本
こちらの患者さんは、歯並びが悪いことと、歯ぐきの退縮を気にされ来院されました。
下顎前歯に歯肉移植を行い、周りの歯を同じ長さになるよう調整していきます。
仮歯の段階でクリーニングを行いながら、歯ぐきの炎症が落ち着いてから全体のバランスを整えました。
最後にセラミッククラウンを入れ、色と形のバランスを見ながらSETしました。
歯肉形成
歯肉形成は1歯単位で行えます。歯肉ラインが不揃いな場合、全体のラインを整え綺麗なラインを作ることができます。
-
- 主訴
- 歯の長さが違うためバランスがおかしい、歯ぐきも退縮し被せ物が合っていない
-
- 部位
- 上顎前歯6本
-
- 治療内容
- 歯肉形成
+セラミック治療
-
- 治療費用
- 総額105.6万円(税込)
歯肉形成:3.3万円
セラミック:16.5万円×6本
仮歯:0.55万円×6本
歯の長さが違うためバランスが悪く、被せ物を入れても綺麗にみえないので、右上1の短い歯に合わせ周りの歯を同じ長さになるよう歯肉形成を行いました。
仮歯の段階でクリーニングを行いながら、歯ぐきの炎症が落ち着いてから全体のバランスを整え、最後にセラミッククラウンを入れ、色と形のバランスを見ながらSETしました。
-
- 主訴
- 歯が短く全体のバランスが悪い
-
- 部位
- 上顎前歯
-
- 治療内容
- 歯肉形成
+セラミック治療
-
- 治療費用
- 総額105.6万円(税込)
歯肉形成:3.3万円
セラミック:16.5万円×6本
仮歯:0.55万円×6本
全体的に歯が短くバランスが悪いため、統計的に綺麗に見える長さまで歯肉を切除し歯を長くバランスよく見えるよう形成いたしました。
仮歯の段階で何度か確認し、クリーニングを交えながら、歯肉が定着し綺麗になった段階で全体の型取りを行いました。
最後に自分好みの歯の色を決め、セラミッククラウンを入れました。
この方はとにかく白い歯にしたいというオーダーのため、できるだけ白いセラミッククラウンをSETしました。
歯肉ピーリング
黒ずんだ歯茎を健康的なピンク色に戻すメラニン色素除去の治療が歯肉ピーリング・ガムピーリング(ガムブリーチ)です。
メラニン色素の沈着により歯肉の黒変が見られる場合、レーザー照射を何回か繰り返すことによってピーリングを行い歯ぐきの色を改善することができます。
-
- 主訴
- タバコを吸うので、歯肉が黒く、昔入れた保険の被せ物も替えたい
-
- 部位
- 上顎22・24番と上の黒ずみ歯茎
-
- 治療内容
- ピーリング
+セラミック治療
-
- 治療費用
- 総額37.4万円(税込)
ピーリング:1.65万円×2回
仮歯:0.55万円×2本
セラミック:16.5万円×2本
昔に入れた保険の歯は、裏が金属で歯肉に沈着があり、色も合っていないため除去をしセラミッククラウンに。
歯肉はタバコによる色素沈着が見られるためピーリングを適宜行いました。
補綴物による
歯ぐきの黒ずみ除去
歯の治療に使われている金属による金属アレルギーでメラニン細胞が増えて悪くなる場合、差し歯が合わず炎症を起こしていたり、歯周病による血行障害などが考えられます。
この場合には、原因を除去し、補綴をしっかり合った状態にやり直すことにより改善できます。
-
- 主訴
- 歯茎が黒くなっているのが気になる
-
- 部位
- 左上12番
-
- 治療内容
- セラミック治療
-
- 治療費用
- 総額33万円(税込)
セラミック:16.5万円×2本
金属を含む被せ物が劣化し、歯ぐきの周りが黒ずんでしまっているため除去をし、仮歯の段階でクリーニングを行いながら、歯肉が落ち着くのを待ち型取りを行いました。
天然歯に見えるような、リアルなセラミッククラウンを製作し、歯ぐきの形態を調整しながら他の歯と馴染むようにSETしています。
初診個別相談COUNSELING
患者様は、口の中の状態、通院時間や回数、経済面など来院されるにあたりいろいろな悩みや疑問を持って来られます。
そんな患者様に対して、必要に応じて、保険診療や自費診療を行い、全ての患者様のニーズに寄り添える治療をする事が
我々の最大のポリシーです。
| 診療時間 | 月 | 火 | 水 | 木 | 金 | 土 | 日 |
|---|---|---|---|---|---|---|---|
| 9:00-12:30 | ○ | ○ | ○ | × | ○ | ○ | × |
| 14:00-18:30 | ○ | ○ | ○ | × | ○ | △ | × |










